PEDIATRIC DENTISTRY
It is recommended to visit a pediatric dentist every six months from the child’s first birthday. Routine visits will start your child on a lifetime of good dental health.
Healthy eating habits lead to healthy teeth. Like the rest of the body, the teeth, bones and the soft tissues of the mouth need a well balanced diet. The children should be advised not to eat hard candy etc. as it remains in the mouth for long time and is precarious. Regular visits to a dentist motivate the child in keeping their mouth clean. Moreover pediatric dentist are trained to handle the wide range of issues associated with your child’s oral health. Your partnership with your pediatric dentist will help ensure your child healthy teeth and a confident bright beautiful smile.
We offer :
Pit and Fissure Sealants
Sealing of the pits and grooves of the teeth prevents food from sticking and prevents decay. Needs to be done once in 6 months.
Pulpectomy
While the milk tooth can be filled if decayed, deeper cavities may require removal of the infected pulp tissue called pulpectomy or pulpotomy. Some deep cavities may require pulp capping..
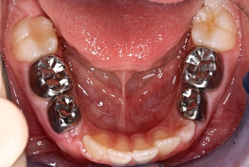
Stainless Steel Crowns
Stainless steel preformed crowns are used to cover the decayed tooth and provide the chewing efficiency, prevent spread of decay and to maintain the space till the permanent counterpart erupts
Strip Crowns
Strip crowns are used to restore front teeth since stainless teeth would not be aesthetically pleasing.
Space Maintainer
When milk teeth are lost earlier than the permanent teeth are mature for eruption, the space needs to be preserved otherwise the child may have an arrangement problem or locking of the tooth in the bone.. That may require extensive treatments later.
