Root Canal Treatment
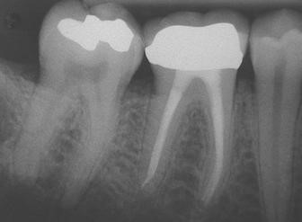
A ‘root canal’ is the term that refers to the natural cavity or space within the center of the tooth. It is made up of the pulp chamber which provides nutrients and nerves to each tooth and the ‘canals’ that connect to each other or to the surface of the root of the tooth.
A cavity in the tooth leaves an opening where bacteria can enter and multiply. Left without treatment, these bacteria cause infections and form pockets or abscesses filled with pus up at the roots of the tooth. This causes severe pain and swelling that could spread to other areas of the face or head. Serious infections bring about bone loss around the tip of the tooth’s roots.
A root canal is a procedure done to treat and save a tooth that is damaged, infected or badly decayed. The treatment involves (1) removal of the nerves and pulp and (2) cleaning and sealing the infected area inside the tooth.
Care after root canal treatment:
you should not chew or bite on the treated tooth until you have had it restored by your dentist. The unrestored tooth is susceptible to fracture, so you should see your dentist for a full restoration as soon as possible.
Otherwise, you need only practice good oral hygiene, including brushing, flossing, and regular checkups and cleanings. Most treated teeth last as long as any other natural teeth. In a few cases, a tooth that has undergone root canal treatment does not heal or the pain continues. Often when this occurs, the Endodontist redoes the procedure, saving the tooth.
