GUM TREATMENTS
Scaling
Even when we brush/ floss regularly, plaque build up occurs in a few nooks and corners that are not reacheable to the cleaning aids. This plaque collection hoards bacteria that is the very cause of decay and gum disease. Scaling removes the deposits and stains present on the teeth which cannot be removed by brushing. It also removes trapped food particles and plaque containing millions of bacteria which cause tooth decay and gum diseases....
Deep scaling
When plaque build up has affected the gum health, causing pockets, then the cleaning has to be deep, often done in multiple sittings
Laser Curettage
Using LASERS to sterilise the pockets to rid them of the recalcitrant infections that repeatedly infect the gums
Flap Surgery
Reaching within the gums to remove the disease causing germs and infection. This can be performed with and without lasers
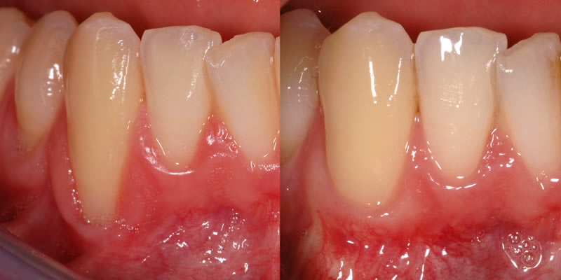
Surgical Therapy /Regenerative Procedures
In cases of severe periodontal disease, surgery will be necessary to repair and regenerate the soft and hard tissues and replace any missing teeth. The goal of surgery is to eliminate pockets between the gum and tooth and attempt to encourage reattachment and normal function and esthetics to the patient.
Procedures that regenerate lost bone and tissue supporting your teeth can reverse some of the damage caused by periodontal disease.
Preventing Periodontal Disease
While steps can be taken to alleviate the ravages of periodontal disease, the best step is prevention. Remove plaque and bacteria through daily brushing, flossing, and regular oral hygiene. Routine visits to a dental professional for cleanings are also essential. Quitting smoking has proven to be very helpful in preventing the onset of periodontal disease.
Periodontal Plastic Surgery Procedures
Periodontists are often considered the plastic surgeons of dentistry. If you are looking to improve your smile, a periodontist may be able to help.
